Início / Versão completa
Saúde

Homem desenvolve tumor gigante após parasita se alojar em seu olho

Por REDAÇÃO 05/11/2024 19:16

A rinosporidiose é uma infecção causada pelo patógeno Rhinosporidium seeberi, uma espécie única de fungo endêmica na América do Sul, África e Índia. Ela normalmente se manifesta com crescimento anormal de tecidos chamados pólipos, que aparecem no nariz, na faringe, nas pálpebras ou na conjuntiva.

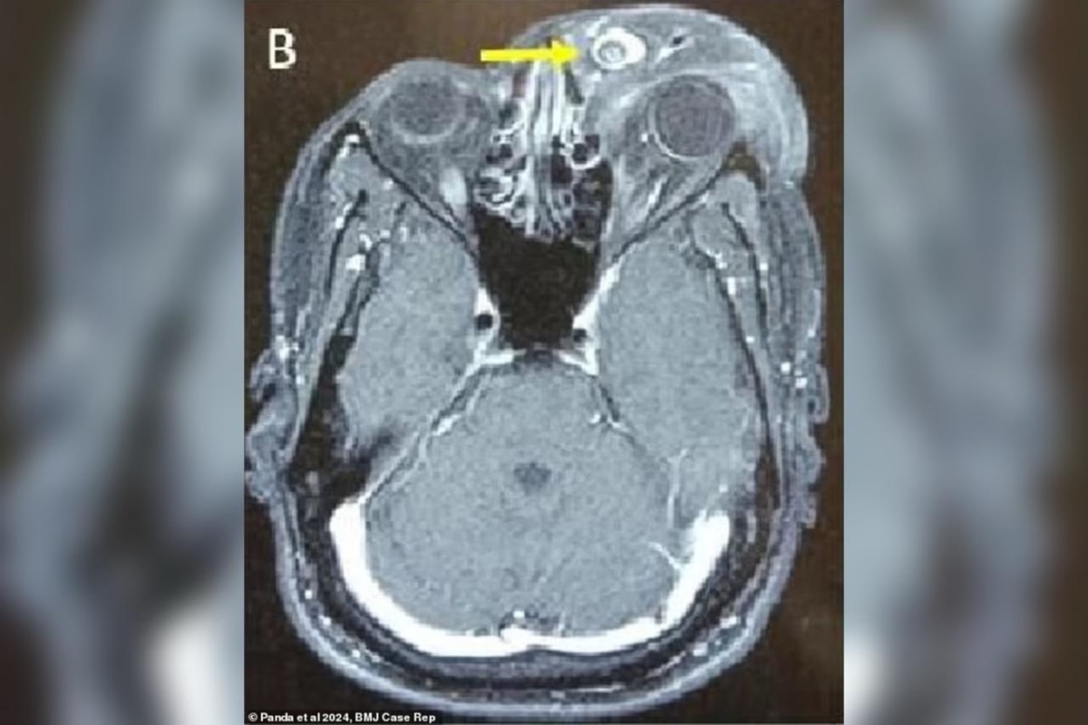
Um caso raro da doença foi registrado na Índia e detalhado na revista científica BMJ Case Reports no dia 17 de outubro. Um homem indiano de 30 anos ficou cego e sofreu deformações faciais após o parasita se alojar em seu globo ocular.

O problema teve início há cinco anos, quando o paciente notou um leve inchaço no olho esquerdo. Com o passar do tempo, o tumor se desenvolveu, esticando a pele do rosto e comprometendo a estrutura ocular, até que ele perdeu completamente a visão. O homem ficou com uma espécie de bolsa de pele que saía do olho e ficava pendurada no rosto.

Os especialistas do Instituto de Ciências Médicas da Índia acreditam que o tumor foi desencadeado por uma resposta inflamatória que resultou no crescimento descontrolado de um angiofibroma (um tumor incomum que acomete o nariz e nasofaringe).

Infecção pelo parasita é mais comum em homens

O tumor, que tinha 15 centímetros de diâmetro e estava preso a uma bolsa de tecido ocular de 7,5 centímetros de comprimento, não era cancerígeno, mas ainda assim causava efeitos colaterais debilitantes.

Os cirurgiões realizaram uma operação cuidadosa para remover a grande massa. “A cirurgia foi um sucesso e, em três meses, o olho do homem voltou ao normal e ele conseguiu enxergar novamente”, disseram os autores no artigo.

Exames das células do tumor revelaram fragmentos do parasita por toda a extensão da massa, sugerindo que a inflamação e o crescimento eram uma reação do organismo ao invasor, na tentativa de conter ou combater a infecção.

Os médicos não conseguiram determinar exatamente quando o paciente contraiu o parasita ou a fonte de contaminação, mas a rinosporidiose é geralmente associada ao contato com água em áreas rurais ou riachos próximos a fazendas. A infecção é mais comumente relatada em homens com idades entre 11 e 40 anos e, embora não seja mortal, sem tratamento pode persistir por longos períodos.

Os especialistas ressaltaram a necessidade de maior conscientização e estudos sobre a rinosporidiose, uma condição que, embora rara, pode ter implicações significativas na saúde e qualidade de vida dos pacientes, principalmente nas regiões tropicais, onde é mais prevalente.

Siga a editoria de Saúde no Instagram e fique por dentro de tudo sobre o assunto!


Fonte: Metrópoles

Recomendado
Ver matéria completa no site
Página AMP gerada pelo Tupa AMP Pro com componentes válidos para AMP. Scripts comuns do tema são bloqueados nesta versão para reduzir erros de validação.